A estética é visual e a SkyCam coloca o visual em primeiro plano.
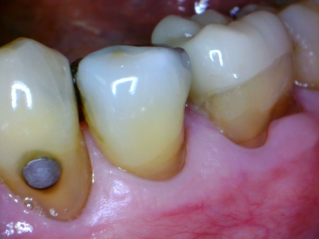
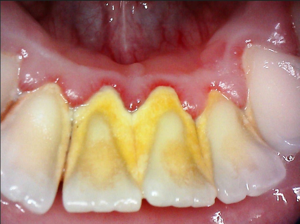
O paciente vê, em detalhes, o nível de inflamação e acúmulo de tártaro. Isso aumenta a adesão ao tratamento imediatamente.
Lesões pequenas, mudanças de cor e recessões mínimas ficam muito mais fáceis de identificar.
Perfeito para tratamentos de longo prazo: raspagem, manutenção e cirurgias periodontais.
Você documenta todos os estágios, desde o início da doença até a estabilidade.
O paciente percebe tecnologia, cuidado e alta qualidade clínica.
Ideal para observar cor, textura e inflamação gengival.
Facilita explicações sobre gravidade da doença periodontal.
Essencial para monitorar e comprovar evolução do tratamento.
Quando o paciente vê, ele entende. Quando entende, ele trata.
Permite orientar higiene com fotos reais da boca do próprio paciente.
Mostra tudo ao vivo na tela, criando impacto visual imediato.
A skycam é uma empresa brasileira fundada em são josé dos campos, no interior de são paulo, temos como objetivo desenvolver tecnologia no ramo odontológico, e hoje somos a maior fabricante de câmera intraoral do brasil.
A empresa valoriza a inovação através do desenvolvimento contínuo de tecnologias avançadas para a prática odontológica, enquanto se compromete com a qualidade, garantindo desempenho superior e durabilidade em seus produtos, alinhados aos mais altos padrões do setor.
Proporcionar aos profissionais da odontologia ferramentas mais avançadas e acessíveis para melhorar a precisão diagnóstica, a eficiência do tratamento e a satisfação do paciente, através do uso de câmeras intraorais de alta qualidade e tecnologia de ponta.
Ser líder global no fornecimento de soluções inovadoras para a odontologia, transformando a experiência do diagnóstico e tratamento dentário, promovendo a saúde bucal e bem-estar dos pacientes em todo o mundo.
Torne seus diagnósticos mais confiáveis, seus pacientes mais engajados e seus tratamentos mais eficazes.