ORTODONTIA

Mais precisão no planejamento e mais engajamento do paciente em cada fase do tratamento ortodôntico.

A estética é visual e a SkyCam coloca o visual em primeiro plano.

Por que a câmera intraoral faz tanta diferença na Ortodontia?

A Ortodontia depende de constante monitoramento, comunicação clara e comprovação visual da evolução. A SkyCam entrega tudo isso com máxima nitidez.

1
Mostra microdesvios e rotações invisíveis no exame clínico.
2
Facilita a identificação de falhas de higiene que afetam o tratamento.
3
Permite acompanhar desgastes, contatos e alinhamento com precisão.
4
Aumenta a colaboração do paciente ao mostrar a realidade na tela.
5
Registra o progresso mês a mês, fortalecendo a confiança no processo.

O que muda no seu atendimento ortodôntico com a SkyCam?

1. Acompanhamento real da evolução ortodôntica

Em vez de “parece que melhorou”, o paciente vê claramente cada etapa.

2. Mais motivação e adesão ao tratamento

Pacientes desanimam por não enxergarem progresso, com a SkyCam, eles veem diferença.

3. Diagnósticos muito mais precisos

Detalhes como:

  • Alinhamento
  • Giroversões
  • Torque
  • Assimetria
  • Bráquetes desgastados

4. Menos desistências de tratamento

Quando o paciente entende, ele continua.

5. Comunicação profissional e moderna

O consultório ganha valor, tecnologia e autoridade.

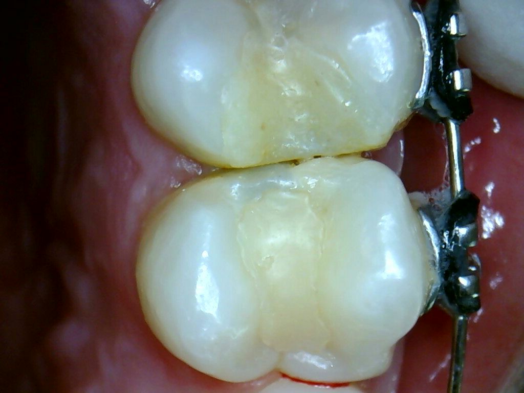
Exemplos reais do uso da SkyCam na Ortodontia

Diferenciais da SkyCam para Ortodontistas

Ultra nitidez para ver microdesvios

O ortodontista identifica problemas que antes passavam despercebidos.

Registro fotográfico para comparações precisas

Ideal para acompanhamento de longos tratamentos.

Auxílio no posicionamento de bráquetes

Imagens ampliadas deixam pequenos detalhes visíveis na tela.

Melhora a comunicação com pais e responsáveis

Especialmente útil para adolescentes que precisam de mais motivação.

Aumenta a retenção e a satisfação do paciente

Progresso visível = paciente engajado.

Imagens profissionais para portfólio

Antes/depois perfeito para redes sociais e apresentação de casos.

Veja quem usa e recomenda a SkyCam - Depoimentos de Ortodontistas

Dra. Raissa Dourado

“A SkyCam trouxe uma nova dimensão para meu trabalho. Ela é prática, fácil de usar e proporciona imagens de alta qualidade. Isso não só melhora a precisão dos meus diagnósticos, mas também torna as consultas mais eficientes.”

Dra. Natália Zago

“Uma tecnologia sem igual, equipamento único, não tem comparação. Fora que o atendimento e atenção de toda a equipe é nota 100! “

Dra. Claudia Assis

“A comunicação ficou infinitamente melhor porque o paciente consegue enxergar o que você está trazendo pra ele, o que gera uma um confiança muito malor onde ele não se sente enganado. Vale muito a pena investir na SKYCAM!”

Dr. Webber Ricci

“Desde que comecei a usar a SkyCam, meus pacientes passaram a confiar mais nas minhas recomendações. Eles podem ver as imagens claras e detalhadas dos seus próprios dentes, o que facilita a compreensão dos tratamentos necessários.”

Dr. Rodrigo Villagra

“A utilização da imagem em alta qualidade auxilia muito no dia a dia clínico, excelente ferramenta para diagnostico, auditoria e marketing.”

Dr. Renato Provenzano

“Sempre digo que é algo muito legal e necessário ao consultório, se paga no decorrer do tempo (desde quando adquiri a minha já comecei a cobrar um valor a mais pensando no modo de ela se pagar), o paciente adora e acha moderno como também gosta da transparência de mostrar o serviço que precisa ser executado, como o registro de antes e depois. Existem outras câmeras, mas não na qualidade da SKYCAM!”

Dr. Juarez Garcia

“A SkyCam mudou a forma como me comunico com meus pacientes. Com as imagens detalhadas que ela captura, posso explicar melhor as condições e os tratamentos necessários. Isso torna as consultas mais informativas e os pacientes mais satisfeitos.”

Dr. José Arbex

“Investir na SkyCam foi uma das melhores decisões para minha clínica. A qualidade das imagens impressiona os pacientes e facilita a aprovação dos tratamentos. O retorno sobre o investimento foi rápido e significativo.”

Dr. Jorge Eustáquio

“A SkyCam revolucionou meu consultório. Com ela, consigo mostrar aos meus pacientes exatamente o que vejo, o que aumenta a confiança deles nos diagnósticos. É uma ferramenta indispensável para diagnósticos precisos e precoces.”

Dr. Heitor Ferrari

“A SkyCam me permite envolver meus pacientes no processo de diagnóstico. Eles adoram ver as imagens em tempo real e entender melhor a saúde bucal deles. Isso cria um ambiente de confiança e colaboração.”

Dr. Felipe Valverde

“Com a SkyCam, consigo detectar problemas em estágios iniciais que antes passavam despercebidos. Isso significa que posso oferecer tratamentos menos invasivos e mais eficazes, melhorando os resultados e a satisfação dos pacientes.”

Dr. Anderson Bernal

“As câmeras da SKYCAM são fantásticas, modernas e de muito fácil manuseio. Odontologia preventiva é o nosso futuro, e a SKY nos dá essa possibilidade!”

A skycam é uma empresa brasileira fundada em são josé dos campos, no interior de são paulo, temos como objetivo desenvolver tecnologia no ramo odontológico, e hoje somos a maior fabricante de câmera intraoral do brasil.

Valores

A empresa valoriza a inovação através do desenvolvimento contínuo de tecnologias avançadas para a prática odontológica, enquanto se compromete com a qualidade, garantindo desempenho superior e durabilidade em seus produtos, alinhados aos mais altos padrões do setor. 

Missão

Proporcionar aos profissionais da odontologia ferramentas mais avançadas e acessíveis para melhorar a precisão diagnóstica, a eficiência do tratamento e a satisfação do paciente, através do uso de câmeras intraorais de alta qualidade e tecnologia de ponta.

Visão

Ser líder global no fornecimento de soluções inovadoras para a odontologia, transformando a experiência do diagnóstico e tratamento dentário, promovendo a saúde bucal e bem-estar dos pacientes em todo o mundo.

A Ortodontia muda rápido e a SkyCam permite registrar cada detalhe dessa mudança.

 Aumente a precisão, o engajamento e a satisfação dos seus pacientes com tecnologia avançada.