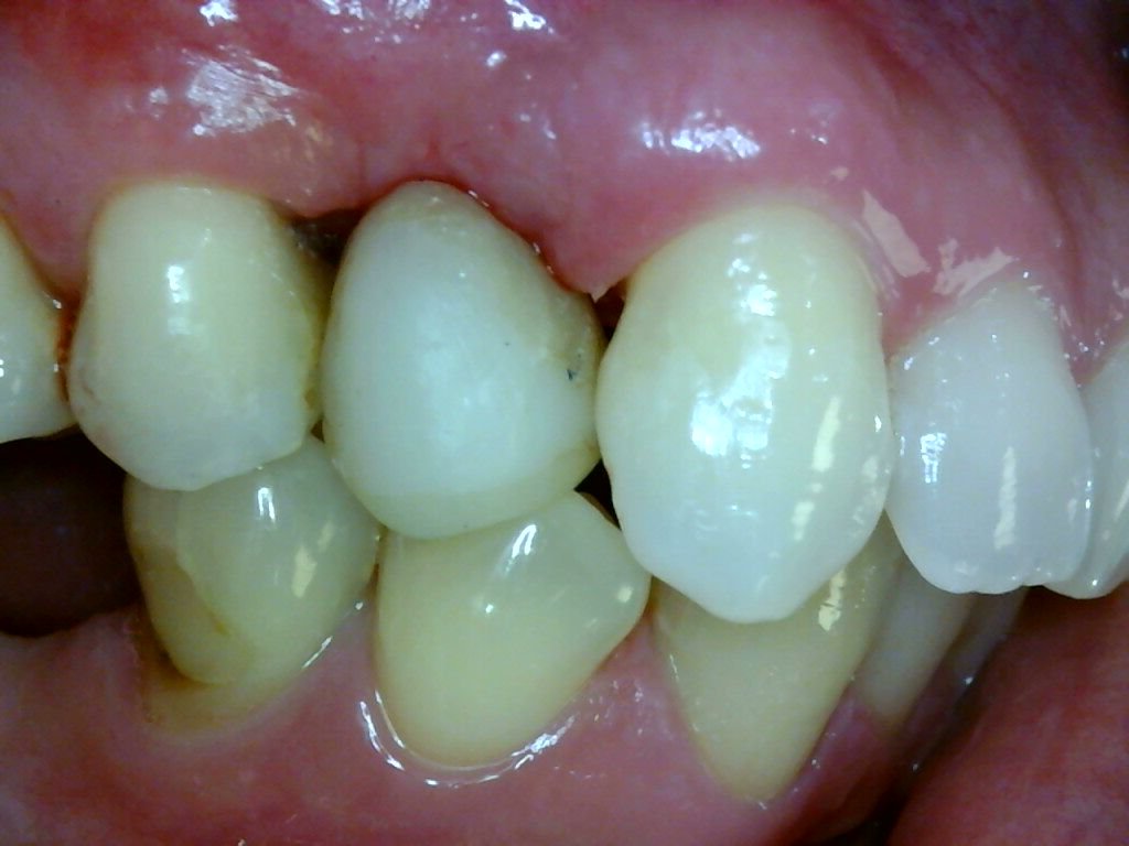
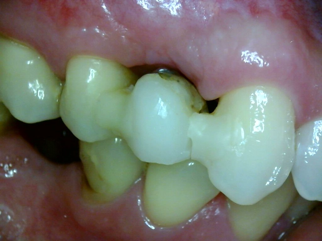
A estética é visual e a SkyCam coloca o visual em primeiro plano.
Você mostra ao paciente, com clareza, a condição inicial da área onde o implante será instalado.
Fotos intraorais eliminam dúvidas e aumentam a taxa de aceitação do procedimento.
Controle preciso de inflamações, posicionamento de cicatrizantes e adaptação.
Imagens nítidas ajudam na fabricação de próteses perfeitas.
Fotos permitem mostrar ao paciente onde precisa melhorar.
Tecnologia + documentação = mais credibilidade e valor percebido.
Perfeito para acompanhar inflamação, cicatrização e estabilidade gengival.
Antes, durante e depois. Tudo documentado.
O paciente entende por que precisa do implante e acompanha sua própria evolução.
Compartilhamento de imagens profissionais facilita ajustes finos.
Clareza visual ajuda na detecção precoce de problemas.
Tecnologia gera percepção de qualidade superior.
A skycam é uma empresa brasileira fundada em são josé dos campos, no interior de são paulo, temos como objetivo desenvolver tecnologia no ramo odontológico, e hoje somos a maior fabricante de câmera intraoral do brasil.
A empresa valoriza a inovação através do desenvolvimento contínuo de tecnologias avançadas para a prática odontológica, enquanto se compromete com a qualidade, garantindo desempenho superior e durabilidade em seus produtos, alinhados aos mais altos padrões do setor.
Proporcionar aos profissionais da odontologia ferramentas mais avançadas e acessíveis para melhorar a precisão diagnóstica, a eficiência do tratamento e a satisfação do paciente, através do uso de câmeras intraorais de alta qualidade e tecnologia de ponta.
Ser líder global no fornecimento de soluções inovadoras para a odontologia, transformando a experiência do diagnóstico e tratamento dentário, promovendo a saúde bucal e bem-estar dos pacientes em todo o mundo.
Modernize o atendimento e ofereça a melhor experiência para seus pacientes.